

近日,国家儿童医学中心、复旦大学附属儿科医院心胸外科成功完成一例高难度儿童巨大纵隔肿瘤切除手术。12岁的小宇(化名)胸腔内长有一颗直径近30厘米的巨型纵隔肿瘤,手术难以切除、化疗效果不佳。
复旦儿科多学科团队联合中山医院胸外科专家,通过两次介入血管栓塞和蛤壳式切口手术,成功将肿瘤完整摘除。
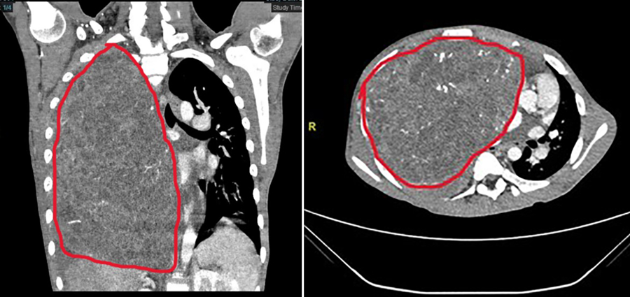
小宇体内的纵膈肿瘤尺寸达29×27×15厘米,长满右侧胸腔并延伸到左侧,将心脏从正常位置挤压到左侧胸壁边缘,并严重压迫周边脏器、影响心肺功能。更棘手的是,肿瘤血供丰富,与周围组织粘在一起,手术切除风险极高,极易引发致命性大出血。

此前,小宇曾尝试手术切除,但因为术中出血难以控制,手术被迫中止,仅完成了肿瘤活检。随后的规范化疗也未能缩小肿瘤体积,疗效未达预期。随着病情持续恶化,小宇胸闷、呼吸困难等症状持续加重,生命悬于一线。
复旦儿科迅速启动多学科会诊,集结心胸外科、肿瘤外科、介入科、麻醉科、重症医学科专家,并特邀中山医院胸外科副主任、纵隔亚专科主任、儿科医院心胸外科双聘学术主任丁建勇教授共同参与决策,制定“先堵后疏、精准拆弹”的诊疗方案。
术前,肿瘤介入团队王作鹏副主任医师分两次实施肿瘤滋养血管精准栓塞,有效阻断肿瘤主要供血通道,减少血供,为外科切除创造安全手术窗口。
由于肿瘤占据双侧胸腔大部、心脏严重受压移位,常规切口视野不足。而且儿童胸腔容积更小,器官发育不成熟,手术难度与风险显著增高。经过多次术前讨论,手术团队决定Clam-shell(蛤壳式)双侧前胸横切口,能更好地暴露肿瘤,为切除提供最佳条件,该手术方法通常用于肺移植手术。
手术当日,麻醉科副主任医师郭东东及团队全程严密护航,丁建勇教授和复旦儿科心胸外科张文波副主任医师密切配合,精细操作,逐层剥离,成功将肿瘤完整切除,术中出血不到100毫升。切下的肿瘤重达7斤3两,超过了成年人头颅大小。术后小宇心肺压迫即刻解除,顺利转入康复治疗,并于近日顺利出院。
复旦儿科心胸外科主任叶明教授表示,儿童纵隔肿瘤早期症状比较隐蔽,常常表现为咳嗽、胸闷、呼吸困难。一旦出现相关症状,应尽早就诊,早期诊治效果良好,并大多可以通过微创手术切除。若就诊较晚,肿瘤发现时已经很大,或侵犯大血管病例手术难度极高。对于特殊的、血供丰富的巨大肿瘤,术前介入栓塞联合扩大切口是有效的治疗方案。
涨8配资提示:文章来自网络,不代表本站观点。